ABSTRACT
Central nervous system aspergillosis is a rare and highly fatal fungal disease that usually occurs in immunocompromised patients. Diagnosis is often delayed, and the condition is difficult to treat. In this report, we describe a case of cerebral Aspergillus abscess in a patient without apparent immunodeficiency. A 76-year-old man presented with progressive headaches, fever, and lethargy for two months. Cranial computerized tomography (CT) showed abscesses in the left frontal, temporal, and parietal lobes and the lateral ventricles, and chronic inflammation in the bilateral maxillary sinuses, left ethmoid sinus, and sphenoid sinus. Aspergillus fumigatus was detected in sphenoid sinus tissue samples via direct smear, culture, and histopathological testing. Voriconazole therapy was initiated immediately. Multiple intracranial abscesses were drained, and abscess samples were found to contain A. fumigatus. As one of the few reported instances of cerebral Aspergillus abscess in an immunocompetent patient who achieved a favorable outcome after complete surgical resection and voriconazole therapy, this case provides new insights and the basis of a surveillance and clinical management framework for treating such patients. Our findings indicate that Aspergillus may enter the brain via the paranasal sinuses and that early diagnosis, urgent surgical intervention, and antifungal therapy are crucial for reducing mortality.
Key words: Aspergillus fumigatus, central nervous system aspergillosis, cerebral abscess, paranasal sinuses, immunocompetent
INTRODUCTION
Invasive Aspergillus infections are most commonly observed in immunocompromised patients, such as those undergoing chemotherapy or with hematologic malignancies or human immunodeficiency virus (HIV) infection. The lungs are primarily affected, although the liver, kidneys, bones, and other organs may also be involved. In one of the most severe forms of aspergillosis, the central nervous system (CNS) is involved, and the mortality rate is up to 90% in untreated cases.[1] With the advent of modern targeted therapies such as JAK1/2/3 inhibitors and biologics, together with advances in microbial detection and diagnostics, the long-standing paradigm that “only severely immunocompromised patients are susceptible to Aspergillus fumigatus infection” is being challenged.[2] However, the symptoms and radiological findings of cerebral aspergillosis lack specificity, which often leads to delayed diagnosis and increased mortality rates. In addition, treatment of this condition is highly challenging.
Here, we report a case of cerebral Aspergillus abscess in an elderly patient with relatively intact immune function. Our findings suggest that Aspergillus may enter the brain via either the paranasal sinuses or hematogenous dissemination.[3] They also indicate that early diagnosis and timely combined surgical and antifungal therapy are crucial for improving prognosis.
CASE REPORT
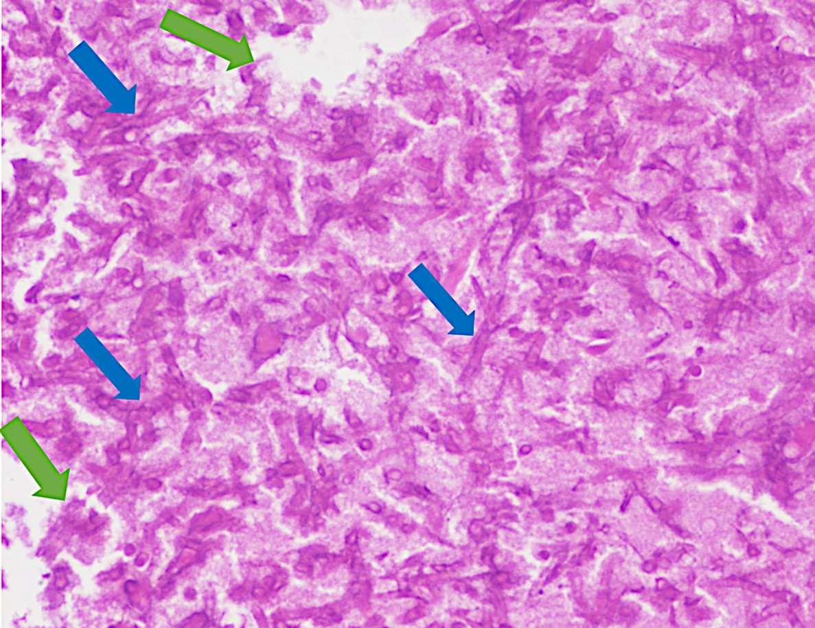
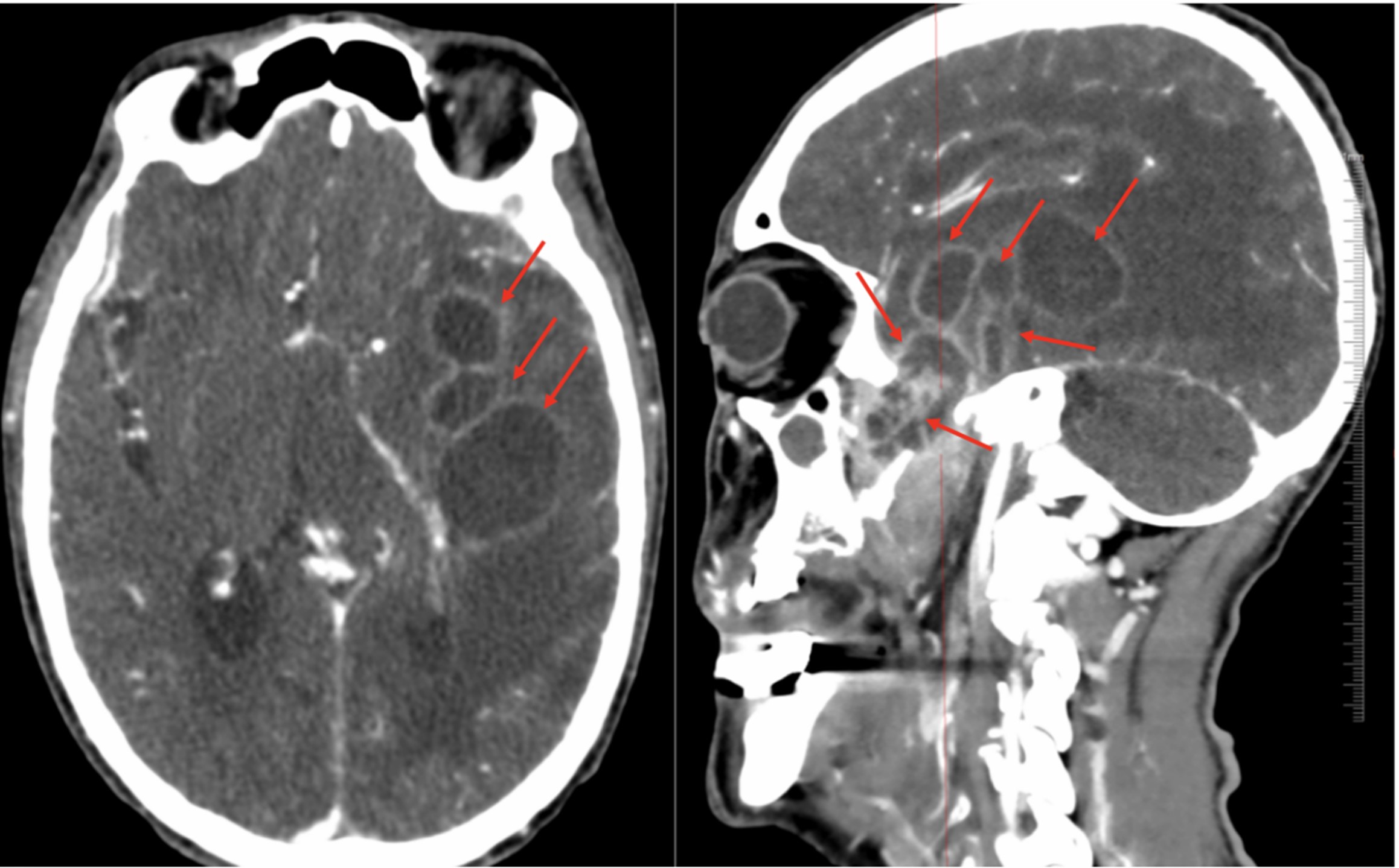
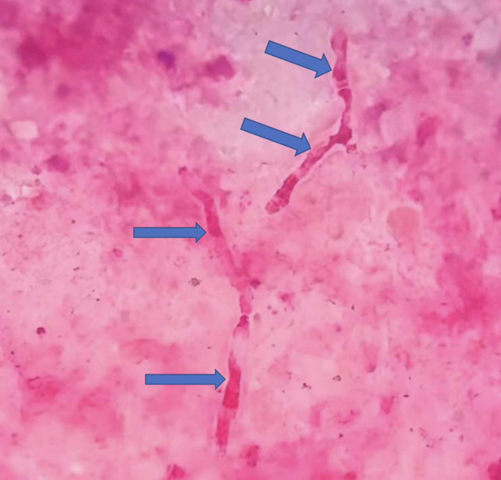
A 76-year-old man developed left temporoparietal pain with intermittent fever in January 2025. One month later, his condition worsened, with fever up to 39 °C, slowed responsiveness, disorganized speech, drowsiness, and poor cooperation on examination. He had a history of colorectal cancer surgery in 2006 with good recovery and no chemotherapy or targeted therapy. Laboratory tests performed upon admission showed elevated white blood cell count (WBC, 12.18 × 109/L), neutrophil (NEU%, 85%), high-sensitivity C-reactive protein (hsCRP, 38.71 mg/L), procalcitonin (PCT, 0.107 μg/L), and interleukin-6 (IL-6, 80.36 ng/L), along with reduced lymphocyte percentage (LYM%, 8.9%) and hemoglobin (Hgb, 87 g/L). Cranial CT revealed abscesses in the left frontal, temporal, and parietal lobes and the lateral ventricles, with right-sided hydrocephalus; chronic inflammation was present in the bilateral maxillary sinuses, left ethmoid sinus, and sphenoid sinus (Figure 1). Based on the laboratory results (i.e., elevated levels of inflammatory markers) and the imaging findings (i.e., cerebral abscesses), empirical antibacterial therapy and dehydration for intracranial pressure reduction were initiated. On day 4 of admission, endoscopic surgery was performed to remove lesions in the left sphenoid sinus–pterygopalatine fossa–middle cranial base. A direct smear of sphenoid tissue revealed septate hyphae with 45° branching (Figure 2). The presence of A. fumigatus was confirmed via culture and VITEK MS identification (Figure 3A–C). Cerebral Aspergillus abscess was thus considered, and voriconazole was initiated at a loading dose of 300 mg administered intravenously every 12 h, followed by a maintenance dose of 200 mg administered intravenously every 12 h. On day 7, repeat surgery was performed to reduce multiple intracranial abscesses via external ventricular drainage. Smear and culture of temporal lobe abscess samples showed that A. fumigatus was present. Histopathological analysis of sphenoid sinus and temporal lobe abscess samples showed brain tissue necrosis with extensive acute and chronic inflammatory cell infiltration and granuloma formation, as well as fungal clusters (Figure 4). Periodic acid–Schiff (PAS) stain and Grocott's methenamine silver (GMS) staining returned positive results. After treatment, the patient's mental status, headaches, and fever improved, and his muscle strength and tone in all four limbs were normal. On day 15, the laboratory test results showed a marked reduction in inflammatory markers. However, the patient was lost to follow-up after discharge (on day 25).
Figure 1. Cranial CT images showing cerebral abscesses in the left fronto-temporo-parietal lobe and lateral ventricle, hydrocephalus in the right hemisphere (red arrows), and chronic inflammation of the bilateral maxillary sinuses, left ethmoid sinus, and sphenoid sinus. CT, computerized tomography.
Figure 2. Direct smear of sphenoid sinus tissue showing septate hyphae with antler-like branching at approximately 45° (blue arrows, 400×).
Figure 3. Aspergillus fumigatus was identified in fungal cultures from sphenoid tissue samples. A. Macroscopic appearance of A. fumigatus cultured on blood agar. B. Macroscopic appearance of A. fumigatus cultured on Sabouraud agar. C. The microscopic morphology of A. fumigatus was evident after staining with lactophenol cotton blue (400×).
Figure 4. Histopathological image of sphenoid sinus tissue showing necrotic debris (green arrows) and numerous septate hyphae exhibiting acute-angle branching (blue arrows, 400×).
DISCUSSION
Invasive aspergillosis typically occurs in immunocompromised individuals. However, in this case, the patient had only a history of colorectal cancer surgery with good postoperative recovery and no chemotherapy, targeted therapy, or other immunosuppressive factors, yet developed severe cerebral Aspergillus abscesses. This suggests that elderly patients may be susceptible to Aspergillus infection, even in the absence of overt immunosuppression.
Notably, a portion of the approximately 10% of adults with chronic rhinosinusitis have fungal rhinosinusitis; hence, this condition affects millions of people worldwide.[3] In our case, CT revealed chronic sinusitis, and culture of sphenoid tissue samples confirmed A. fumigatus. This suggests that initial mucosal inflammation in the sinus may have facilitated the hematogenous spread of the fungus into the cranial cavity, resulting in secondary CNS infection. These findings provide further evidence that clinicians should consider invasive fungal infections when patients with sinusitis present with persistent headaches, altered consciousness, and/or fever.
The common manifestations of CNS aspergillosis include abscesses, meningitis, cerebritis, infarction, mycotic aneurysm, and granuloma. The most frequently reported symptoms include seizures, fever, hemiparesis, cranial nerve deficits, paralysis, and sensory impairment.[4] Given its high mortality rate, clinicians must maintain a high index of suspicion for this condition. However, diagnosing cerebral Aspergillus abscess is very challenging, as clinical and radiological features are often atypical and can be easily confused with those of bacterial cerebral abscesses, tumors, tuberculosis, or hemorrhage. To improve diagnosis, it is recommended that host factors plus clinical, radiological, microbiological, and histopathological criteria are comprehensively assessed and that patients are consequently classified as cases of proven, probable, or possible invasive aspergillosis.[5] A classification of proven invasive aspergillosis would require histopathological evidence of fungal hyphae and angioinvasion (e.g., via PAS and GMS staining). Probable invasive aspergillosis would be diagnosed when host factor, clinical or radiological, and microbiological criteria are all met, as in the present case. Possible invasive aspergillosis would be diagnosed when only the host factor and clinical or radiological criteria are met (i.e., no microbiological evidence of infection).
Surgery is essential for the diagnosis and treatment of cerebral Aspergillus abscess and has been shown to reduce the mortality rate from 64% to 39%.[6] Therefore, a combination of antifungal therapy and surgical resection is recommended, offering a straightforward, durable, and effective therapeutic approach.[4,7,8] Voriconazole is the first-line agent for treating aspergillosis due to its excellent CNS penetration, while itraconazole and amphotericin B are also reportedly effective against intracranial disease.[9,10] In this case, once Aspergillus was identified, voriconazole administration and surgery were initiated, which secured valuable time for patient rescue.
Based on the findings of this case and others, we have developed a framework for the surveillance, identification, diagnosis, and treatment of cerebral Aspergillus abscess (Figure 5). In elderly patients who present with progressive neurological deficits and radiologically confirmed cerebral abscesses, fungal infection should be suspected. In immunocompetent individuals, the sinuses may serve as a key route for Aspergillus entry into the central nervous system, underscoring the importance of microbiological and histopathological evaluation of sinus samples. Early surgical intervention combined with systemic antifungal therapy is the cornerstone treatment for managing cerebral Aspergillus abscess. Given the dynamic fungal landscape and evolving medical practices, proactive monitoring of pathogens and host susceptibility is crucial. Dual-action therapies that combine antifungal and host-targeted approaches may be key to improving outcomes and should be a research priority.
Figure 5. Framework for the surveillance, identification, diagnosis, and treatment of cerebral Aspergillus abscess. H&E, hematoxylin and eosin; PAS, periodic acid–Schiff; GMS, Grocott’s methenamine silver; IHC, immunohistochemistry; GM, galactomannan; PCR, polymerase chain reaction; ITS, internal transcribed spacer; MALDI-TOF MS, matrix-assisted laser desorption/ionization time-of-flight mass spectrometry.
DECLARATION
Author contributions
Jin Y: Conceptualization, Writing, Reviewing and Supervision. Zhou DH: Conceptualization, Supervision. Zhang H and Jiang YS: Project administration. All authors have read and approve the final manuscript.
Source of funding
This work was supported by the project of Naval Medical University (grant number 2021QN38).
Ethical approval
Not applicable.
Informed consent
Written informed consent was obtained from the patient for publication of this case report and any accompanying images. The patient reviewed the manuscript and agreed with the content. The patient’s perspective on the treatment and outcome was obtained and is available upon request.
Conflict of interest
The authors declare no competing interest.
Use of large language models, AI and machine learning tools
None declared.
Data availability statement
No additional data.
REFERENCES
- Segal BH. Aspergillosis. N Engl J Med. 2009;360(18):1870–1884. DOI: 10.1056/nejmra0808853
- Kordana N, Johnson A, Quinn K, Obar JJ, Cramer RA. Recent developments in Aspergillus fumigatus research: diversity, drugs, and disease. Microbiol Mol Biol Rev. 2025;89(1):e00011–e00023. DOI: 10.1128/mmbr.00011-23 PMID: 39927770
- Denning DW, Chakrabarti A. Pulmonary and sinus fungal diseases in non-immunocompromised patients. Lancet Infect Dis. 2017;17(11):e357–e366. DOI: 10.1016/S1473-3099(17)30309-2 PMID: 28774699
- Memória JR Jr, Rufino EPL, Aquino PLDR, Filho FVG, Neto TM, de Vasconcelos HKNB. Brain aspergilloma in an immunocompetent individual: a case report. Surg Neurol Int. 2020;11:211. DOI: 10.25259/SNI_321_2020 PMID: 32874714
- Rule R, Mitton B, Govender NP, Hoffmann D, Said M. Spinal epidural abscess caused by Aspergillus spp masquerading as spinal tuberculosis in a person with HIV. Lancet Infect Dis. 2021;21(11):e356–e362. DOI: 10.1016/S1473-3099(20)30979-8 PMID: 34599872
- van de Veerdonk FL, Carvalho A, Wauters J, Chamilos G, Verweij PE. Aspergillus fumigatus biology, immunopathogenicity and drug resistance. Nat Rev Microbiol. 2025;23(10):652–666. DOI: 10.1038/s41579-025-01180-z PMID: 40316713
- Adachi H, Najima Y, Konishi T, Sekiya N, Hagihara M. Intraventricular rupture of Aspergillus brain abscess during remission induction. Int J Infect Dis. 2020;101:346–347. DOI: 10.1016/j.ijid.2020.10.010 PMID: 33039613
- Tsitsopoulos PP, Tsoulfas G, Tsonidis C, et al. Successful, combined long-term treatment of cerebral aspergillosis in a liver transplant patient. Virulence. 2010;1(5):465–467. DOI: 10.4161/viru.1.5.13110 PMID: 21178487
- Schwartz S, Ruhnke M, Ribaud P, et al. Improved outcome in central nervous system aspergillosis, using voriconazole treatment. Blood. 2005;106(8):2641–2645. DOI: 10.1182/blood-2005-02-0733 PMID: 15998833
- Groll AH, Pana D, Lanternier F, et al. 8th European Conference on Infections in Leukaemia: 2020 guidelines for the diagnosis, prevention, and treatment of invasive fungal diseases in paediatric patients with cancer or post-haematopoietic cell transplantation. Lancet Oncol. 2021;22(6):e254–e269. DOI: 10.1016/S1470-2045(20)30723-3





